Betriebsbetreuung mit begleitender Analytik
Im Rahmen der intensiven Betriebsbetreuung von Klärwerken und Kleinkläranlagen werden verfahrenstechnische und elektrotechnische Fachberatungen, Betriebsführungsaufgaben mit Durchführung der chemischen Standard-Analysen (Photometer), Controlling-Aufgaben und weitergehende betriebspraktische Untersuchungen zur Optimierung der Gesamtwirtschaftlichkeit durchgeführt. Im eigenen Abwasser- und Schlammlabor werden die entsprechenden chemisch-physikalisch-biologischen Analysen fachgerecht bearbeitet. Darüber hinausgehende Spezial-Analysen (z.B. Fettsäure-Spektrum, Gaschromatograph-Massenspektrometer (GC-MS)) werden in einem zertifizierten chemischen Fachlabor untersucht.
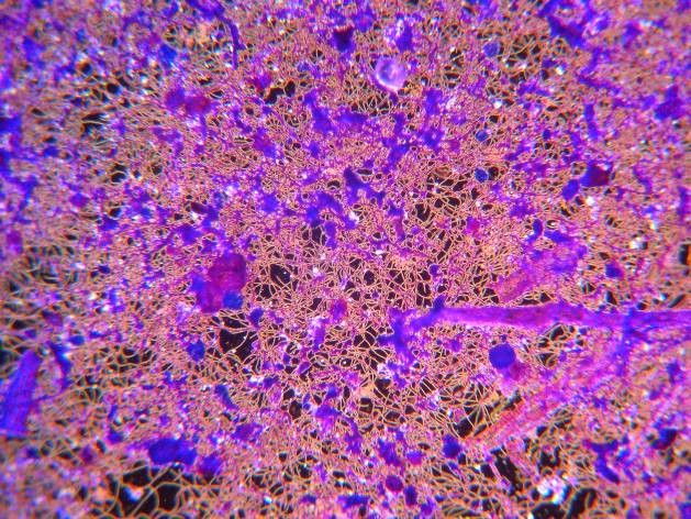
Im Rahmen dieser Betriebsbetreuung werden als Beispiel seit 2003 regelmäßige praxisbewährte Untersuchungen der Schlammeigenschaften im Prozeßverlauf der Abwasserreinigung und Klärschlammbehandlung in den Belebungsstufen Klärwerk Freudenberg mit dem Außenklärwerk Lindenberg und dem Klärschlamm eines fleischverarbeitenden Gewerbeeinleiters durchgeführt. Hierbei werden im besonderen Maß die Milieuzustände, die jahreszeitlichen Veränderungen der Fadenbakterienentwicklungen, der EPS-Anteile und des Kalk-Kohlensäure-Gleichgewicht in den Belebungsstufen untersucht und bewertet, sowie entsprechende Optimierungsmaßnahmen umgesetzt. Durch den Schlamm des Gewerbebetriebes kommt es über die Rückbelastung aus der Schlammentwässerung zu Einflüssen auf die Belebungsstufe Klärwerk Freudenberg.
![]() |
![]() |
![]() |
Abbildung: mikroskopische Untersuchungen Flockenstruktur (Hellfeld, 100x)
![]() |
![]() |
![]() |
Abbildung:mikroskopische Untersuchungen Extrazellulärer Polymerer Substanzen - EPS (Hellfeld, Tusche-Einfärbung, 100x)
![]() |
![]() |
![]() |
Abbildung: mikroskopische Untersuchungen Extrazellulärer Polymerer Substanzen - EPS (Hellfeld, Ruthenium-Rot-Einfärbung, 200x)
![]() |
![]() |
![]() |
Abbildung: mikroskopische Untersuchungen Gesamtfädigkeit (Dunkelfeld, Kristallviolett-Einfärbung, 100x)
![]() |
![]() |
![]() |
Abbildung: mikroskopische Untersuchungen Fadenspezies-Identifizierung (Hellfeld, Gram-Färbung, 1.000x)
![]() |
![]() |
![]() |
Abbildung: mikroskopische Untersuchungen Fadenspezies-Identifizierung (Hellfeld, Neisser-Färbung, 1.000x)
Gerichtsgutachten
Aufgrund der langjährigen Erfahrungen im Bereich der Abwasserreinigung und Klärschlammbehandlung werden im Ingenieurbüro Dr. Denkert auch Begutachtungen für Rechtsstreitigkeiten bearbeitet.
Im Rahmen eines Rechtsstreits zwischen einer deutschen Anlagenbaufirma und einem Auftraggeber/Betreiber eines Klärwerks in Rumänien wurden vom Ingenieurbüro Dr. Denkert 2012 – 2014 im Auftrag der deutschen Anlagenbaufirma zahlreiche Untersuchungen und Fachberatungen mit nachfolgenden Fragestellungen durchgeführt.
- Bewertung der Entwässerbarkeit des Faulschlamms
- Bewertung der maschinentechnische Funktionsfähigkeit der installierten Siebbandpresse
- Bewertung der Viskosität des eingedickten Überschussschlammes hinsichtlich der Druckverluste in der Beschickungsleitung zu den Faultürmen
- Funktionsfähigkeit der Prozesstechnik/Maschinentechnik am Sandfang speziell hinsichtlich der Fettentfernung
- Gründe für das Auftreten von Ablagerungen von Fett und fettverwandten Substanzen (z.B. Kalkseifen) in Bauwerken der Wasserlinie und den Leitungen der Schlammlinien
Im Rahmen der durchgeführten Untersuchungen war auch sehr auffällig ist, dass in den Abwasserproben keine freien Fettsäuren, sondern ausschließlich Fettsäuremethylester (FAME = Fattic Acid Methyl Ester) nachgewiesen werden. FAME ist eine künstliche Verbindung, die als natürliche Verbindung nicht vorkommt. Allgemein bekannt ist die Verbindung als Biodiesel aus Rapsöl, Palmöl, Sojaöl. Es wird aber auch als Hilfsstoff (Formsand und Harz) bei der Gussformherstellung für Maschinenteile und Werkzeuge verwendet.
Im Zulauf Sandfang sind überwiegend FAME aus der einfach ungesättigten Ölsäure (C18:1), aber auch aus der mehrfach ungesättigen Linolsäure (C18:2) und der gesättigten Palmitinsäure (16:0) enthalten. Nach dem Sandfang/ Fettfang und der Vorklärung werden im Abwasser weiterhin Ölsäure- und Palmitinsäure-FAME nachgewiesen. Selbst im Faulschlamm-Zentrat sind noch Ölsäure- und Palmitinsäure-FAME vorhanden.
Im Rahmen der Begutachtung wurden auch zahlreiche Optimierungsmaßnahmen empfohlen und im Betrieb umgesetzt.
![]() |
![]() |
Erstellen von Explosionsschutz-Dokumenten gemäß der ATEX-Richtlinie
Am 02.10.2002 trat die Betriebssicherheitsverordnung (BetrSichV) in Kraft. Die Europäische Richtlinie 94/9/EG (Atex-Richtlinie) wurde als 11. Verordnung zum Gerätesicherheitsgesetzt (Explosionsschutzverordnung, ExVO) in deutsches Recht überführt. Sie verbietet spätestens ab 01.07.2003 das Inverkehrbringen und die Inbetriebnahme von Produkten, die nicht der Mindestanforderungen der Richtlinie 94/9/EG entsprechen.
Mit dem In-Kraft-Treten der Atex-Richtlininen bzw. der Betriebssicherheitsverordnung übernimmt der Betreiber von entsprechenden Anlagen (Klärwerke, Pumpwerke, RÜBs) ein hohes Maß an Verantwortung für die Beschäftigten. Neben den Anforderungen aus den Unfallverhütungsvorschriften und der Explosionsschutz-Regeln muss der Betreiber vor der Aufnahme von Arbeiten in explosionsgefährdeten Bereichen die Richtlinien-Komformität durch ein umfangreiches Explosionsschutz-Dokument nachweisen.
Zur Erstellung dieses Dokuments sind folgende Leistungen erforderlich:
- Erfassung Betriebsbedingungen und technische Dokumentation für alle Betriebsstätten, Eignung der Betriebsmittel, Reinigungspläne, Betriebsanweisungen;
- Bewertung der Explosionsgefährdung mit zusammenfassendem Erläuterungsbericht;
- Erstellung des Ex-Zonenplanes mit Dokumentation;
- Bedarfsgerechter Maßnahmenkatalog zur Realisierung der Anforderungen nach Betriebssicherheitsverordnung, Atex-Richtlinie und Explosionsschutzverordnung. Hier wird im besonderen Maße die vorhandenen EMSR- und PLS-Technik berücksichtigt.
- Schulung der Mitarbeiter und Projektbesprechung mit behördlicher Abstimmung.
Für alle Bereiche muss der Betreiber von Klärwerken ein ganzheitliches Explosionsschutzkonzept erstellen. Die Gefährdungsbeurteilungen sind keine Einzelverfahren. Es ist eine Gefährdungsbeurteilung zu erstellen, die alle Aspekte des Arbeitsschutzgesetzes (ArbSchG), der Gefahrstoffverordnung (GefStoffV) und der Betriebssicherheitsverordnung (BetrSichV) berücksichtigt. Nach der Erfassung müssen entsprechende Maßnahmen zur Vermeidung von Explosionen gemäß der Richtlinien sofort umgesetzt werden. Hier sind unter Berücksichtigung und Anpassung an die örtlichen Situationen intelligente und wirtschaftliche Lösungen nach dem Stand der Technik einzusetzen. Es wird empfohlen, den Erläuterungsbericht mit Ex-Zonenplan und den erarbeiteten Maßnahmenkatalog dem örtlichen Gemeindeunfallverband (GUV) zur Prüfung und Freigabe vorzulegen. Die Maßnahmen müssen nach Erfassung zeitnah umgesetzt werden.
Aufgrund unserer langjährigen Betriebserfahrungen bearbeiten wir die Gesamtleistungen zur Erstellung von kompletten Explosionsschutzdokumenten.
In jedem Projekt zur Abwasserreinigung und Klärschlammbehandlung, speziell auch für Eindick- und Entwässerungsmaschinen, bewerten wir gesondert und ausführlich die ATEX-Anforderungen.
Erstellen von Betriebsanweisungen
Für komplette Kläranlagenbereiche oder im Rahmen von Projekten zur Maschinen- und Anlagentechnik werden vom Ingenieurbüro Dr. Denkert entsprechende Betriebsanweisungen erstellt. Hierbei werden Gefahrenquellen von Arbeitsbereichen, Betriebsmittel und Tätigkeiten der Mitarbeiter identifiziert und bewertet. Es werden entsprechende Schutzmaßnahmen festgelegt und erstellt.
Die Betriebsanweisungen können komplett neu erstellt oder in bestehende Dienst- und Betriebsanweisungen eingearbeitet werden.
WHG- und AwSV-Anforderungen
In sämtlichen Projekten werden die WHG- und AwSV-Anforderungen im besonderen Maße berücksichtigt. Das gilt insbesondere bei der Planung von Eindick- und Entwässerungsmaschinen mit einer Polymer-Konditionierung.
Nach Wasserhaushaltsgesetz (WHG) § 62 und Anhang 2 und 4 der Verwaltungsvorschrift wassergefährdende Stoffe (VwVwS) vom 27. Juli 2005 sind die in der Klärschlammbehandlung eingesetzten polymeren Flockungsmittel wie folgt eingestuft:
- WGK 1: Kationenstärke ≤ 15 % und Restmonomergehalt < 0,1 %
- WGK 2: Kationenstärke > 15 %
Für die Klärschlamm-Eindickung und -Entwässerung werden in der Regel polymere Flockungsmittel mit einer Kationenstärke > 15 % eingesetzt, die in die WGK 2 fallen. Da polymere Flockungsmittel für die Schlammbehandlung mit Wasser (Trinkwasser oder Brauchwasser) verdünnt und in einer entsprechenden fachgerechten verfahrenstechnischen Anlage (Anlage zum Herstellen, Behandeln und Verwenden von wassergefährdenden Stoffen – HBV-Anlage) aufbereitet werden, handelt es sich während und nach der Aufbereitung um ein Gemisch.
Seit dem 01.08.2017 ist die neue Bundesverordnung „Verordnung über Anlagen zum Umgang mit wassergefährdenden Stoffen (AwSV)“ in Kraft. In Anlage 1 sind Regelungen zur Einstufung von Stoffen und Gemischen als nicht wassergefährdend und in Wassergefährdungsklasse enthalten. Als Bewertungsmethode werden den R-Sätzen oder Gefahrenhinweisen Bewertungspunkte und Vorsorgepunkte zugeordnet, über die eine Einordnung in die WGK erfolgt. Es wird davon ausgegangen, dass keine grundlegend veränderte Einstufung der für die Klärschlamm-Eindickung und -Entwässerung verwendeten polymeren Flockungsmittel entsteht.
Gemische werden unter folgenden Bedingungen in WGK 1 (gemäß AwSV, Anhang 1, 5.2.3) eingestuft:
- Es sind krebserzeugende Komponenten enthalten, auch wenn der Massenanteil krebserzeugender Stoffe < 0,1% ist.
- Der Massenanteil eines enthaltenen, nichtkrebserzeugenden Einzelstoffes der WGK 2 ist ≥ 0,2 %.
- Der Massenanteil der Summe aller enthaltenen, nichtkrebserzeugenden Einzelstoffe der WGK 2 ist < 5%.
- Der Massenanteil der Summe aller enthaltenen Einzelstoffe der WGK 1 ist > 3%.
- Das Gemisch erfüllt nicht die Voraussetzung für eine Einstufung als nicht wassergefährdend.
- Ggf. muss bei einzelnen Stoffen mit hoher aquatischer Toxizität ein M-Faktor berücksichtigt werden, mit dem der prozentuale Gehalt des Stoffes multipliziert werden und entsprechend höher gewichtet bei der Massenermittlung berücksichtigt werden muss.
Damit werden z. B. Gemische mit einem Massenanteil der Summe aller enthaltenden Einzelstoffe mit WGK 2 < 0,2 % und gleichzeitig mit WGK 1 < 3% in keine Wassergefährdungsklasse eingeteilt, wenn keine krebserzeugenden Stoffe, keine nicht identifizierten Stoffe, keine Stoffe mit unbekannten wassergefährdenden Eigenschaften sowie keine Dispergatoren oder Emulgatoren enthalten sind .
Im praktischen Betrieb der Polymer-Aufbereitung auf Klärwerken wird in der Regel eine Lösungskonzentration im Bereich von 0,1 – 0,5 % bezogen auf die polymere Wirksubstanz aufbereitet. Danach ergeben sich nachfolgende Einstufungen in Abhängigkeit von der eingesetzten Lösungskonzentration mit deren Einfluss auf die Anforderungen der Anlagentechnik:
- WGK 2: Handelsware (siehe auch Sicherheitsdatenblatt)
- WGK 1: aufbereitete Gebrauchslösung
(≥ 0,2 % Massenanteil polymere Wirksubstanz)
bzw. aufbereitete Gebrauchslösung aus Flüssig-Polymer
< 0,19% Massenanteil polymere Wirksubstanz
aufgrund der Verwendung von Dispergatoren - keine WGK: aufbereitete Gebrauchslösung aus Pulver-Polymer
< 0,19% Massenanteil polymere Wirksubstanz
Polymer-Aufbereitungsanlagen sind in der Regel für die Aufbereitung verschiedener Gebrauchslösungskonzentrationen und den Einsatz von Pulver- und Flüssigprodukten ausgelegt. Deshalb müssen im Allgemeinen die Anforderungen für den Umgang mit wassergefährdenden Stoffen der WGK 1 berücksichtigt werden.
Genehmigungsanträge gemäß WHG/AwSV werden in eigenen Projekten oder für kommunale oder private Auftraggeber komplett bearbeitet.
![]() |
![]() |





















